Hvad er PSSM1 og 2?

02-01-2024 06:41

Trine Askjær-Jørgensen

En litteraturgennemgang i WBFSH's nye "State of the Industry"-rapport giver et godt indblik i sygdommene Polysaccharide Storage Myopathy type 1 og type 2, i daglig tale PSSM1 og 2, som vi her ser nærmere på

Copyright Ridehesten.com
Hos PSSM-heste er muskulaturen hen over ryg og bagpart ofte øm, stiv og hård. Foto: Ridehesten.com/Annette Boe Østergaard
Nyheden fortsætter efter annoncen

I deres nyudgivne "State of the Industry"-rapport 2022-2023 kommer World Breeding Federation of Sport Horses blandt andet med en litteraturgennemgang af fire lidelser, som avlere bør tage i betragtning: Staldkrampe, Fragile Foal Syndrome (FFS) og Polysaccharide Storage Myopathy type 1 og type 2. Her gennemgår vi, hvad de har skrevet om den sidstnævnte med det lange indviklede navn, som dog i daglig tale kaldes PSSM.

PSSM 1
Type 1 Polysaccharide Storage Myopati er forårsaget af en genetisk mutation i glykogensyntase 1-genet (GYS1). Der er blevet forsket i denne sygdom siden 1995. Mutation forekommer hos mange racer, der nedstammer fra kontinentale, belgiske racekrydsninger, heriblandt varmblod. Fuldblod, araber og standardblod (amerikansk traver) har ikke GYS1-mutationen, som forårsager PSSM1.

Heste med PSSM1 kan have symptomer, der typisk er forbundet med den måde, hvorpå sukker bindes i musklerne, oftest muskelstivhed, tendens til at svede og modvillighed til at bevæge sig. Symptomerne kan også være til stede uden, der er træning involveret. Hestene kan virke dovne, have skiftende halthed, være spændt i maven og have rystelser i flanken, og de kan finde på at strække sig, som om de skal tisse. Hestene har ømme, stive og hårde muskler, især i bagparten. Nogle heste vil prøve på at skrabe og rulle sig umiddelbart efter træning.

De fleste PSSM1-ramte heste har en baggrund med mange episoder med muskelstivhed, som kan være ganske alvorlige med hesten, der er ude af stand til at stå op eller er utilpas, når den ligger ned. Heste med mildere tilfælde har måske kun nogle få episoder om året. Urinen fra disse heste er sædvanligvis kaffefarvet på grund af muskelproteiner, der frigives i blodbanen og passerer ind i urinen. Denne høje koncentration af proteiner i serum og urin kan skade hestenes nyrer, hvis de bliver dehydrerede. Diagnosen kan stilles ved genetisk testning af hårrødder og muskelbiopsi over to år, men en endelig diagnose kræver genetisk testning.

PSSM1 er karakteriseret ved den unormale ophobning af den normale form for sukker lagret i musklen (glykogen) samt en unormal form for sukker (amylase-resistent polysaccharid). Mutationen resulterer i en konstant produktion af glykogen og i et underskud af energi i muskelcellerne.

Selvom PSSM1 ikke kan helbredes, kan sygdommen og dens kliniske præsentation styres gennem et diæt- og træningsregime. Kulhydrater med højt indhold af stivelse såsom sødt foder, majs, hvede, havre, byg og melasse forårsager forværring af PSSM1. Ekstra kalorier kan gives i form af fedt. Håndteringen af sygdommen sker gennem daglig motion, forbedring af glukoseudnyttelsen og forbedring af energistofskiftet i skeletmuskulaturen. Hvis kun kosten ændres, forbedres omkring 50% af hestene. Hvis både kost og motion ændres, har 90% af hestene haft ingen eller få episoder med opbinding. Men PSSM1-heste vil altid være modtagelige for denne tilstand, hvis træningsrutinen afbrydes, eller hvis de bliver syge af andre årsager, kan kliniske tegn udvikle sig igen.

PSSM1 er et autosomalt dominant træk, hvor der er 50% eller større risiko for, at en PSSM1 hests afkom vil udvikle sygdommen.

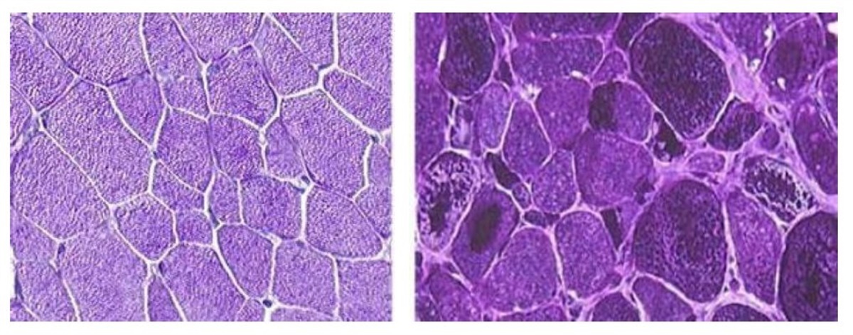
Copyright Ridehesten.com
Muskelbiopsi, der viser normal glykogenlagring (til venstre) og fra en hest med en GYS1-genmutation (til højre). De mørke områder fra den angrebne vævsprøve viser det overskydende glykogen, der er lagret i muskelcellerne. Foto: www.pssmawareness.com
Nyheden fortsætter efter annoncen

PSSM2
Type 2 Polysaccharide Storage Myopati blev opdaget, da ikke alle heste diagnosticeret med PSSM via muskelbiopsier havde den genetiske mutation glykogensyntase 1. Ligesom PSSM1 har PSSM2 en lignende opbinding af sukker i musklerne og muskelskade. PSSM2 har ikke overskydende glykogen i deres muskler, og hestene har ikke muskelskade, da deres kreatinkinaseaktivitet i blodbanen er normal.

Der er en undergruppe af PSSM2, som omtales PSSM2-ER og har højt kreatinkinase i blodbanen under opbindingsepisoder. PSSM2-ER responderer på de samme diæt- og træningsanbefalinger som PSSM1.

PSSM2-ramte heste viser en modvilje mod at gå fremad under rytter, modvilje mod at engagere bagparten og intolerance overfor træning. Symptomerne forbedres kun med 50%, hvis hesten bliver behandlet efter diæt- og træningsanbefalingerne for PSSM1 (hvilket indikerer en forskel fra PSSM2-ER). Hos varmblodsheste har denne gruppe PSSM2-heste myofibrillær myopati (MRM), og deres behandling er forskellig fra PSSM2-ER. Måling og CK-aktivitet på muskelbiopsien er påkrævet for at skelne mellem PSSM2-ER og PSSM2.

Hos varmblodsheste er de fleste tilfælde af træningsintolerance og normale CK-niveauer sandsynligvis relateret til myofibrillær myopati. De berørte racer omfatter hollandsk varmblod, svensk varmblod, hannoveranere, Selle Francais, westfalere, canadisk varmblod, irske sportsheste, Gelderlander og Husien. Hos varmblodsheste kan der være en udiagnosticeret gangabnormitet, ømme muskler og fald i energiniveau samt manglende vilje til at præstere efter 5-10 minutters træning. De har en øm, fast ryg- og bagpartsmuskulatur, modvilje mod at samle sig og engagere bagparten, dårlig runding over forhindringer og langsom begyndende atrofi, især når de er uden arbejde. Lidelsen viser sig typisk første gang, når hesten er omkring 8-11 år.

Den specifikke årsag til PSSM2 er endnu ikke identificeret. Forskning har identificeret to typer af PSSM2: 1. PSSM2-ER, som er en glykogenopbevaringssygdom, der har høj kreatinkinaseaktivitet, og 2. PSSM2-MFM, som er karakteriseret ved træningsintolerance og normal CK-aktivitet. Der er en mulig sammenhæng mellem PSSM2 og myofibrillær myopati, da nogle heste viste unormal ophobning af glykogen i musklerne og blev diagnosticeret med PSSM2. Myofibrillær myopati er forbundet med unormal sammenklumpning af et protein kaldet desmin i musklerne, hvilket også forårsager bindingssymptomer. Sammenhængen mellem disse to sygdomme er ikke klar.

På nuværende tidspunkt anbefaler forskerne ikke genetisk test for PSSM2 eller MFM, da der ikke er noget videnskabeligt bevis for, at de varianter, som genetisk testning kan bruges til, er knyttet til PSSM2 eller MFM. I øjeblikket er der ingen virksomheder, der leverer kommercielle tests til PSSM2 eller MFM.

Heste med PSSM2-ER kan håndteres ved hjælp af et diæt- og træningsregime. Heste med PSSM2-MFM har responderet positivt på øget indtag af aminosyre og fedt for at få større mængder kalorier samt træningsregimer, men forskningen kan ikke konkludere noget endnu.

Kilde: WBFSH State of the Industry Report

Annika Knudsen Lorentsen

Har du en nyhed eller god historie?

Kontakt Annika Knudsen Lorentsen